متابعات- السابعة الإخبارية
أعلن إيلون ماسك، مؤسس شركة نيورالينك، نجاح زرع شريحة دماغية في أول إنسان مريض، خضع لعملية زراعة الشريحة التي تنتجها الشركة، يوم الأحد، حيث أصبح يتعافى بشكل جيد.
وقال إيلون ماسك، عبر منصة (إكس)، أمس الاثنين: “تظهر النتائج الأولية رصد زيادة الخلايا العصبية على نحو واعد”.
وأضاف ماسك في منشور آخر: “شريحة نيورالينك سيُطلق عليه اسم (تيليباثي)”.
ما هي الخلايا العصبية

وفقًا للمعهد الوطني للصحة، تستخدم الخلايا العصبية، الإشارات الكهربائية والكيميائية لإرسال المعلومات عبر الدماغ وإلى الجسم.
أول تجربة لزرع شريحة في دماغ إنسان
ومنحت إدارة الأغذية والعقاقير الأمريكية، شركة إيلون ماسك، تصريحا لإجراء أول تجربة لها لاختبار زرع الشريحة في دماغ إنسان، العام الماضي.
ما هي الشريحة الدماغية
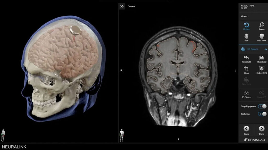
تمكن الشريحة الدماغية، الأشخاص المصابين بالشلل الرباعي من التحكم في الأجهزة بتفكيرهم، بحسب شركة نيورالينك عبر موقعها الإلكتروني. وتقدر قيمة شركة نيورالينك، بنحو 5 مليارات دولار في يونيو 2023 الماضي.
سلامة الشريحة

واجهت نيورالينك دعوات للتدقيق فيما يتعلق ببروتوكولات السلامة الخاصة بها، بعد أن طلب 4 مشرعين، من لجنة الأوراق المالية والبورصة الأمريكية التحقيق.
وطالب المشرعون، التحقيق في مدى إذا كان ماسك قد ضلل المستثمرين بشأن سلامة تقنية الشريحة، بعد أن أظهرت السجلات البيطرية مشكلات في عمليات زرعها في أدمغة القرود، ومنها الشلل وتورم الدماغ.
*************
– لكتابة مقال خاص عن اسم مؤسستك أو شركتك يمكنك المراسلة عبر البريد الإلكتروني التالي:


